
الحالة
هشام صلاح
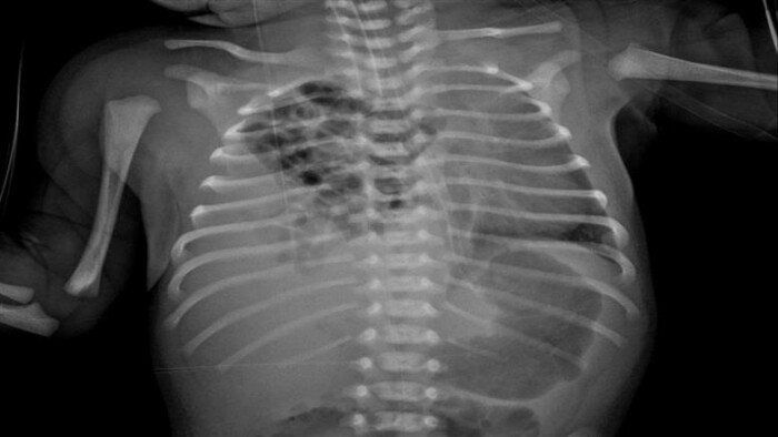
نجح الفريق الجراحي بمستشفى زاوية الناعورة المركزي في محافظة المنوفية، بقيادة الدكتور مجدي لولح والفريق المعاون، تحت إشراف الدكتور إسلام الفقي مدير المستشفى، في إجراء عملية نادرة لإصلاح فتق بالحجاب الحاجز من نوع «بوكدالك» في الجهة اليمنى، وهي من الحالات شديدة الندرة التي لا تتجاوز نسبتها عالميًا 10- 15% من إجمالي حالات الفتق الحجابي الخلقي.
تفاصيل إجراء جراحة نادرة في المنوفية
وأشارت مديرية الصحة في بيان، إلى أنه تبيّن وجود الفص الأيمن من الكبد داخل التجويف الصدري إلى جانب الأمعاء الدقيقة والغليظة، مما تسبب في ضغط على الرئة اليمنى، وعلى الفور قام الفريق الطبي بإرجاع جميع الأعضاء إلى وضعها الطبيعي داخل تجويف البطن، ثم إصلاح الفتق بخيوط غير قابلة للذوبان من نوع «إيثيبوند» لضمان المتانة واستقرار الحالة.
وتابعت مديرية الصحة، أن الجراحين في المستشفى لاحظوا وجود التصاقات وأغشية تليفية من نوع «لادز» أدت إلى التواءات بالأمعاء، فتم التعامل معها بتقنية إصلاح «لادز» الجراحية، والتي شملت إزالة الأغشية التليفية، وإعادة ترتيب الأمعاء الدقيقة إلى الجهة اليمنى والقولون إلى الجهة اليسرى، مع استئصال الزائدة الدودية كإجراء وقائي.
وأكد الدكتور إسلام الفقي، أن العملية تمت بنجاح كامل، والحالة الآن مستقرة وتحت الملاحظة الدقيقة بوحدة الرعاية، مشيرًا إلى أن هذا النجاح يعكس كفاءة وتميز الفريق الجراحي بالمستشفى، ودعم مديرية الشؤون الصحية في محافظة المنوفية لتطوير الخدمات الجراحية الدقيقة بالمستشفيات المركزية.
0 تعليق